Diş beyazlatıcı jellere dikkat edilmesi konusunda uyarılarda bulunan Diş Hekimi Denizhan Uzunpınar, "Diş beyazlatma işlemi için bir engeliniz yok." dedi.
Abone olYaz geldi, sahil kum güneş ve tabi ki bitmeyen fotoğraflar ve selfieler. Ya selfie çektirirken dişleriniz sarı çıkarsa? Tabi ki telefon uygulamaları dişlerinizi beyazlatıyor ama gerçekte maalesef böyle bir şansınız yok. Kısa yoldan çözmek için de dişlerinizi Karbonat ve tuz ile ovmaktan vazgeçin.
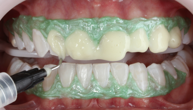
Diş Hekimi Denizhan Uzunpınar, "Gelişimi tamamlamış herkes diş beyazlatma işlemini yaptırabilir." diyerek, "Diş beyazlatma işlemi profesyonel bir şekilde hekiminiz tarafından yapılmasını öneriyoruz. Diş beyazlatma işlemi dişlere zarar verir, kanser yapar gibi tuhaf yazıları bir kenara itebilirsiniz. Böyle bir araştırma olmadığından zararlı demek doğru olmaz. Dişlerinizi Hem ofiste ( hekim tarafından) hem de ev de kendiniz beyazlatabilirsiniz. Bunun için doğru tedavi hakkında hekiminize gidip fikir almak en iyisi. Dişleriniz birkaç ton açılır ve eski haline hiçbir zaman geri dönmez” dedi.

Beyazlatırken diyet yapılmalı mı?
Kozmetiklerde satılan beyazlatıcı jellerinin kesinlikle tavsiye etmediklerini ifade eden Dt. Uzunpınar, “Ya profesyonel bir beyazlatma yaptırın ya da hiç yaptırmayın. Dişlerinizi beyazlatırken uygun diyetler yapmanızda fayda var. Diş beyazlatması sırasında renklendirici ve şekerli gazlı içecekler tüketmemeniz, çay kahve ve sigara kullanımını minimuma indirmeniz istenir. Ne kadar iyi diyet, o kadar beyaz diş. Dişleriniz sizin bir takınız. Güzel takılar güzel şans getirir. Siz de dişlerinizi beyazlatmak için diş hekiminize başvurun. Telefondaki uygulamayı silin, dişleriniz artık daha beyaz” açıklamalarında bulundu.