Kanada''da silahla ateş edilen bir kadın göğsündeki silikonun merminin yönünü değiştirmesi sayesinde ölümden kurtuldu!
Abone olKanada'da bir kadın memelerinde silikonları sayesinde ölümden döndü. Doktorlar, kadının göğsüne isabet eden bir merminin, silikon sayesinde yönünü değiştirdiğini ve böylelikle hayati tehlikeye neden olmadığını düşünüyor.
Yolda yürürken vuruldu
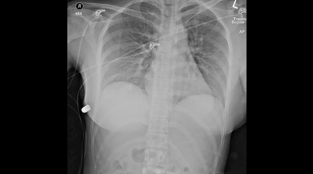
SAGE Journals dergisinde 15 Nisan'da yayımlanan makaleya göre; 2018 yılında 30'lu yaşlarında bir kadın Toronto'da sokakta yürürken birden göğsünde sıcaklık ve ağrı hissetti. Ardından mermi yarasını fark eden kadın hastanenin acil servisine başvurdu.

Kalbe doğru gidecekken silikona takıldı!
Doktorlar raporda, silikon üzerindeki izleri inceleyerek silikonun büyük bir ihtimalle kadının hayatını kurtardığı sonucuna vardı. Rapora göre vücuda sol taraftan vücuda giren mermi, kalbe doğru ilerleyebilecekken silikon sayesinde yön değiştirdi.
Daha önce de oldu ama böylesi ilk
Daha önce de benzer vakaların yaşandığına dikkat çeken doktorlar, yine de silikon sayesinde yön değiştiren merminin görüldüğü ilk vakayı raporladıklarını öne sürdü.
İmplantlarını alınan kadının sadece bir kaburgasında çatlak olduğu, onun haricinde durumunun iyi olduğu kaydedildi. Doktorlar, kadına yeni bir estetik ameliyatı yapmadan önce 6 ay beklemesini tavsiye etti.