ABD'de yaşayan 8 yaşındaki Avella Braun, koronavirüsün nadir görülen oto-bağışıklık hastalığını tetiklemesi sonrası felç geçirdi. Braun'un tedavisi sürerken, doktorlar 'Dünyanın her yerinde benzer vakalar görüyoruz' diye uyardı.
Abone olKoronavirüse yakalanan 8 yaşındaki ABD'li çocuk son derece nasir görülen bir durum ile karşı karşıya kaldı. Minnesota'da yaşayan Avella Braun Mart ayı başlarında virüse yakalandıktan sonra tüm hayatı değişti. The Mirror gazetesinde yer alan habere göre, Braun koronavirüs nadir görülen oto-bağışıklık hastalığını tetikledikten sonra felç kaldı.

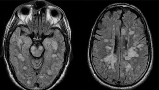
Talihsiz çocuğa vücudun bağışıklık sistemi kendisine saldırarak omurilik ve beynin şişmesine neden olan nadir bir akut yayılmış Ensefalit (ADEM) teşhisi konuldu. Avella’nın doktoru Dr. Michael Pitt, "Bu vakada yaşananların en büyük tetikleyicisi koronavirüs olmuştur” dedi.

Braun’un Akut dissemine ensefalomyelit (ADEM) santral sinir sisteminin immun aracılıklı bir bozukluğuna yakalandığı bildirildi. Tıp uzmanları, Haziran ayında koronavirüs ve ADEM arasındaki bağlantıyı kurmaya başladıklarını açıklamıştı. Uzmanlar, dünyada, koronavirüs atlatan kişilerde benzer vakalara rastladıkları konusunda uyarıyor.