Koronavirüsün ortaya çıktığı Çin'de yapılan bir araştırmada, iyileşen bir hastanın akciğerinde sıvı veya parçacık dolu keseler bulundu. Bu sonuç, iyileşen kişilerde kalıcı organ hasarı olduğu iddialarını doğruladı.
Abone olKoronavirüs görülen ülkelerdeki yeni vakalara ilişkin güncel verilerin derlendiği Worldometer internet sitesi'ne göre şimdiye dek koronavirüse yakalanıp iyileşenlerin sayısı 95 bin 829 oldu.
Deutsche Welle'de yer alan habere göre; iyileşen hastalarda hastalığın hafif veya orta seyrettiği ya da o kişilerin iyi bir tedavi aldığı belirtildi.
İyileşen kişilerin sayısı teselli edici olsa da öte yandan, bu kişilerin hastalık sonrasında nasıl etkilendiklerini gösteren çok az bilgi var.
Tam bir iyileşme mümkün mü?
Yeni koronavirüs genellikle alt solunum yollarını etkilediğinden, enfekte olanların çoğu kuru öksürük, nefes darlığı veya pnömoni (zatürre) belirtileri gösterir.

Hong Kong'da yapılan araştırma, iyileşmiş koronavirüs hastalarının akciğerlerinde hasar kalabileceğini ortaya koydu.
Hastaneden taburcu edilen 12 hastayla yapılan küçük çaplı bir araştırma, hastaların iki veya üçünün akciğer fonksiyonlarında azalma olduğunu gösterdi. Araştırmacılar, uzun vadeli etkileri onaylamak için henüz çok erken olduğunu dile getirdi.
Hong Kong'daki Princess Margaret Hastanesi Enfeksiyon Hastalıkları Merkezi Tıbbi Direktörü Dr. Owen Tsang Tak-yin, "Bazı hastalarda iyileşme sonrasında akciğer fonksiyonu yaklaşık yüzde 20 ile 30 oranında düşebilir" dedi.
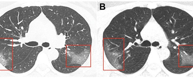
Akciğerlerde buzlu cam benzeri yapılar keşfedildi
Bilgisayarlı tomografide akciğerlerde sıvı veya parçacık dolu keseler görüldü; bu durumun hastalık geliştikçe giderek kötüleşebileceği kaydedildi.

Hong Kong'un bulguları, Şubat 2020'nin başlarında Wuhan'ın önceden yapılan araştırmalarını doğruladı. Yakın tarihli bir çalışmada, Wuhan Üniversitesi Zhongnam Hastanesi'nden bilim insanları 140 koronavirüs hastasının akciğer taramasını analiz etti. Buna göre, her bir hastanın akciğerlerinde buzlu cam benzeri yapılar buldular.
BU FOTO GALERİYE BAKIN