Öksürük şikayetiyle hastaneye gitti hayatının kabusunu yaşadı
Sultanbeyli’de bir vatandaş şiddetli öksürük şikayetiyle gittiği hastanede vücudundaki 6 kaburganın kırıldığını öğrendi. Kaburgaları kırılan vatandaşa takılan platinlerin etkisini kaybetmesi sonrası başlayan kanamalar ile birlikte şahsın vücudunda şişlikler meydana geldi.
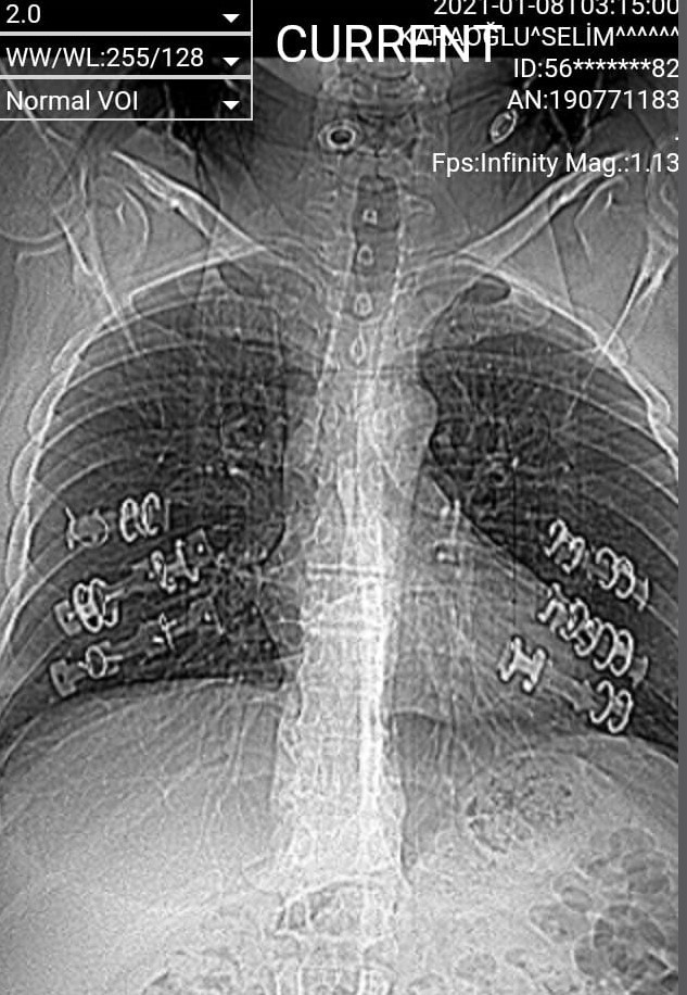
Abone olİddiaya göre, Sultanbeyli’de yaşayan Selim Karaoğlu isimli vatandaş şiddetli öksürük şikayeti üzerine hastaneye başvurdu. Sağlık görevlileri tarafından Karaoğlu’nun korona virüs olabilme ihtimaline karşın yapılan testler negatif çıktı. Test sonuçları negatif çıkan Karaoğlu evine gönderildi. Karaoğlu kısa süre sonra öksürüklerin şiddetlenmesi ve vücudunda meydana gelen ağrıların giderek artması sonrası farklı bir hastaneye gidince çekildiği tomografi sonrası kaburgalarının kırıldığını öğrendi.

Şiddetli öksürükler ile birlikte kaburgasında ciddi boyutta kırıklar tespit edilen Karaoğlu’na platin ve teller takıldı. Yapılan platin tedavisinin başarısız olması sonrası Karaoğlu’nun vücudunda başlayan kanamalar ile birlikte şişlikler meydana geldi.
“5 ay kırık kaburgalarla gezdim”
Şiddetli öksürükler esnasında kaburgalarının kırıldığını hissettiğini belirten Selim Karaoğlu, “Geçtiğimiz yıl şiddetli öksürüklerim sonrası 6 kaburgam kırıldı. İlk gittiğimde korona virüsten şüphelendikleri için tedavim gecikti. 5 ay boyunca kırık kaburgalarla gezdim. Başka bir hastaneye gidince gerçek ortaya çıktı ve ameliyat oldum. Toplamda dört ameliyat geçirdim. Ameliyatlarda taktıkları platinler tutmadı, bağladıkları tel koptu. Şu an hiçbir doktor benim tedavime yaklaşmak istemiyor. Platinler etkisini kaybedince kanamalar oluyor. Sırt bölgemde şişlikler oluştu. Ben sağlığıma yeniden kavuşmak için yardım bekliyorum” dedi.

“Ağrılardan sabaha kadar uyuyamadı”
Eşinin zor günler yaşadığını belirten Birsen Karaoğlu ise, “Öksürdükçe kaburgaları kırıldı. 6 tane kırık meydana geldi. Komşularımızın yardımıyla hastanelere gittik ama maalesef bir çare bulamadık. Ağrılardan sabaha kadar uyuyamadı. Eşimin ağrılarının dinmesi için yeri geldi ben yeri geldi çocuklar sabahlara kadar masajlar yaptık. Şu anda da eşimin vücudunda kanamaya bağlı şişlikler oluştu. Yürümekte zorluk çekiyor. Kollarını hareket ettirmekte problem yaşıyor” diye konuştu.