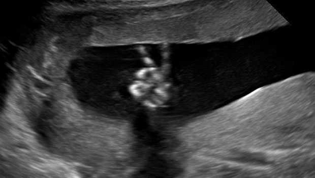
İngiltere’nin Surrey bölgesinde 20 haftalık hamileyken ultrasona giren Dee Parsons, karnındaki bebeğin “kameralara” zafer işareti yaptığını görünce büyük şok yaşadı.
Abone olAnne adayı ve eşi Ed eğer bebekleri erkek olursa ona zafer işareti ile özdeşleşmiş olan eski İngiltere başbakanı Winston Churcill’in adını vereceklerini söyledi.
Dee Parsons, konuyla ilgili İngiliz Daily Mail gazetesine yaptığı açıklamada, “Görevli ekrandaki görüntüyü görünce şoka girdi. O da daha önce böyle bir harekette bulunan bir bebekle karşılaşmamıştı. Ama bebeğin barışla özdeşleşmiş bir işaret yaptığını görmek çok güzeldi. Bir süredir her şeyin kötü gittiği bir dönemde dünyaya bir bebek getirdiğimizi düşünüyor, endişeleniyorduk. Bebeğin bu hareketi kendimizi daha iyi hissetmemizi sağladı” dedi.
