BIST 11.007
DOLAR 42,53
EURO 49,56
ALTIN 5.746,23

Reflünüz bir türlü geçmiyorsa bu hastalığa yakalanmış olabilirsiniz!

Reflünüz bir türlü geçmiyorsa bu hastalığa yakalanmış olabilirsiniz!

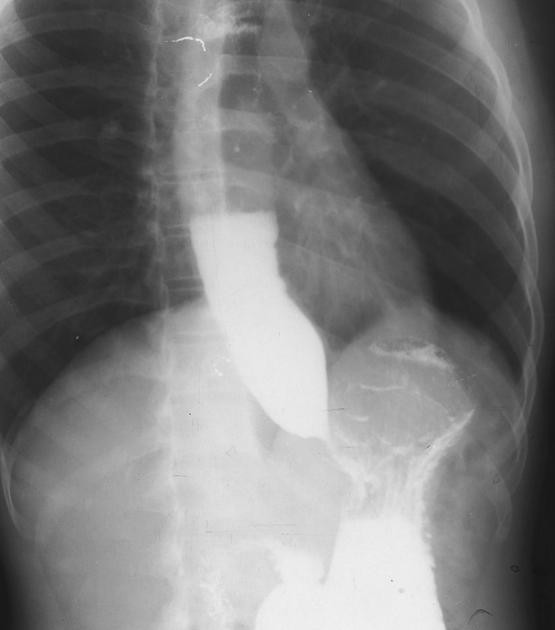
Reflünüz geçmiyorsa ve tekrar ediyorsa dikkat edin. 'Gizli hastalık' olarak adlandırılan akalazya 5 yaşında da görülüyor, 90 yaşında da. İşte akalazya hastalığının belirtileri ve tedavi yöntemleri...

Reflünüz bir türlü geçmiyorsa bu hastalığa yakalanmış olabilirsiniz! - Resim: 1

Reflünüz geçmiyorsa ve tekrar ediyorsa dikkat edin. 'Gizli hastalık' olarak adlandırılan akalazya 5 yaşında da görülüyor, 90 yaşında da. İşte akalazya hastalığının belirtileri ve tedavi yöntemleri...Reflü rahatsızlığınız geçmiyor, kullandığınız ilaçlar fayda etmiyorsa dikkat edin. Çünkü bu 'gizli hastalık' olarak anılan akalazya hastalığının işaretçisi olabilir.

Reflünüz bir türlü geçmiyorsa bu hastalığa yakalanmış olabilirsiniz! - Resim: 2

kalazya hastalığı, 3 yaşında da, 5 yaşında da, 90 yaşında da gözlenebiliyor.Akalazya hastalığı yemek borusundaki hareket bozukluğu olarak tanımlanmaktadır. Akalazyanın kelime anlamı gevşeme güçlüğüdür. Yutma ile meydana gelen kasılma dalgası lokmayı yemek borusundan mideye doğru iletir. Bu sırada yutmayla birlikte alt sfinkterde (büzgen kas) gevşeme meydana gelir ve lokmanın mideye geçişi sağlanır.

Reflünüz bir türlü geçmiyorsa bu hastalığa yakalanmış olabilirsiniz! - Resim: 3

Alt sfinkter olarak adlandırılan bölge dinlenme halinde devamlı olarak kasılı durumdadır. Alt sfinkerın dinlenme halinde dahi devamlı olarak gevşemesi reflüye neden olurken; yutma sırasında gevşememesi ise akalazyaya neden olmaktadır. Hastalığın tedavi edilmemesi durumunda yemek borusu kanseri riskinde artış görülür.

Reflünüz bir türlü geçmiyorsa bu hastalığa yakalanmış olabilirsiniz! - Resim: 4

Akalazyaya yavaş ilerlemesinin yanı sıra çok sık rastlanmayan bir hastalık olması nedeniyle çoğunlukla tanı koymakta geç kalınmaktadır. Hastalığın başlıca belirtisi yutma güçlüğüdür. Hastaların yaklaşık yüzde 90’ında yutma güçlüğüne rastlanılırken bu durum hastalığın ilerlemesiyle birlikte kronikleşebilir.