İngiltere’de aşırı kilo kaybı ve halsizlik şikayetiyle hastaneye giden 38 yaşındaki bir kadının vajinasından idrar kesesine doğru çıkan yabancı cisim doktorları şaşkına çevirdi.
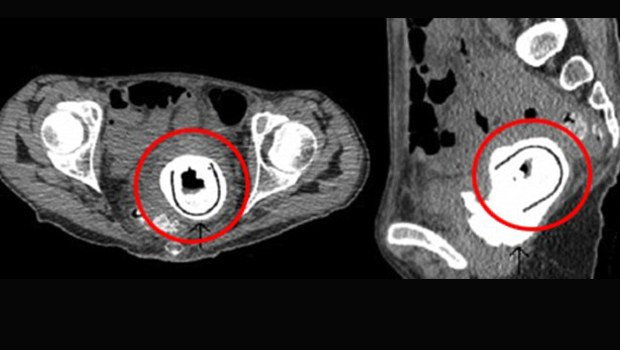
Abone olYapılan ameliyat sonrası kadının vajinasından yaklaşık 11 santimerelik bir seks oyuncağı çıkarıldı.
Herhangi bir zihinsel rahatsızlığı bulunmadığı gözlenen 38 yaşındaki kadının açıklaması ise “10 yıl önce partnerimle birlikte bu oyuncağı kullandım. O sırada alkolün etkisindeydim ve oyuncağı vajinamdan çıkarıp çıkarmadığımı hatırlamıyorum” şeklinde oldu.
Ameliyat sonrası “vezikovajinal fistül” (idrarın vajinaya sızması) ve “obstrüktif üropati” (idrarın böbreklere geri dönmesi) hastalıklarına yakalandığı anlaşılan kadın tedavi altına alındı.

Doktorlara göre sinir hücrelerinin bu kadar yoğun olarak bulunduğu vajina gibi bir bölgede yabancı bir cismin varlığını hissetmemek oldukça nadir görülen bir durum.