Baş ağrısı diye hasteneye gitti beyinsiz çıktı!
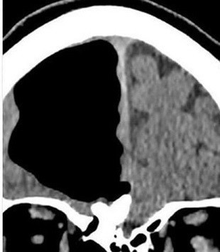
Galerinin tamamı için tıklayınızWashington Post’un dünyanın sayılı tıp dergilerinden BMJ’ye dayandırdığı haber İrlanda’da geçiyor. İsmi açıklanmayan 84 yaşındaki bir adamın baş ağrısı şikayetiyle hastaneye gitmesi sonrasında doktorlar rutin kontrolleri yaptı ve adamın röntgeninin çekilmesini istedi.