BIST 11.236
DOLAR 42,56
EURO 49,65
ALTIN 5.761,65

Baş ağrısı diye hasteneye gitti beyinsiz çıktı!

Baş ağrısı diye hasteneye gitti beyinsiz çıktı!

İRLANDA'da akıllara durgunluk veren olayda, baş ağrısı nedeniyle hastaneye giden 84 yaşındaki adam beyinsiz çıktı. Doktorların bile hayret ettiği olayın ayrıntıları daha da enteresan...

Baş ağrısı diye hasteneye gitti beyinsiz çıktı! - Resim: 1

İRLANDA'da doktorları şaşkına çeviren bir tıbbi gelişme yaşandı. Haberin başrolünde baş ağrısı şikayetiyle hastaneye giden 84 yaşındaki yaşlı bir adam var. Adam hastanede beyinsiz olduğunu öğrendi. Peki nasıl bir insan beyni olmadan yaşayabilir? Doktorlar bu vakadan sonra, bu sorunun yanıtına cevap aramaya başladı. İşte ilginç olayın ayrıntıları.

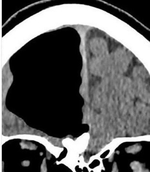
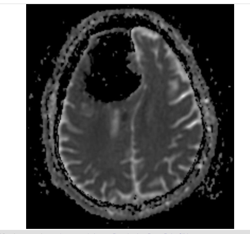
Baş ağrısı diye hasteneye gitti beyinsiz çıktı! - Resim: 2

Washington Post’un dünyanın sayılı tıp dergilerinden BMJ’ye dayandırdığı haber İrlanda’da geçiyor. İsmi açıklanmayan 84 yaşındaki bir adamın baş ağrısı şikayetiyle hastaneye gitmesi sonrasında doktorlar rutin kontrolleri yaptı ve adamın röntgeninin çekilmesini istedi.

Baş ağrısı diye hasteneye gitti beyinsiz çıktı! - Resim: 3

Baş ağrısının yanı sıra sol tarafında bir ağrı ve yürümede sıkıntı yaşayan hastanın röntgeni kısa sürede çekildi. Fakat doktorlar röntgeni inceledikten sonra tıp tarihinde eşi benzerine çok zor rastlanan bir sonuçla karşılaştı. Doktorlar, 84 yaşındaki hastanın beyninin sol tarafının olmadığını fark etti.

Baş ağrısı diye hasteneye gitti beyinsiz çıktı! - Resim: 4

Hayatı boyunca sigara içmeyen ve nadiren alkol alan adamda görüş bozukluğu, konuşma ya da görsel rahatsızlıkları olmadığını açıklayan doktorlar, “O günlük fiziksel aktivitelerini aksatmadan yapan, sağlıklı bir haldeydi. Fakat yapılan testler sonucunda biz de çok şaşırdık” ifadesini kullandı.