BIST 11.190
DOLAR 42,57
EURO 49,59
ALTIN 5.740,06

Tıp tarihi bunu da gördü ciğerinden trafik konisi çıktı

Tıp tarihi bunu da gördü ciğerinden trafik konisi çıktı

İNGİLTERE'de yaşayan 47 yaşındaki prostat kanseri bir hastanın ciğerinden oyuncak trafik konisi çıktı. Doktorlar manzara karşısında hayrete düştü.

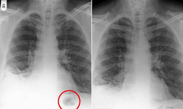
Tıp tarihi bunu da gördü ciğerinden trafik konisi çıktı - Resim: 1

İNGİLTERE'de yaşanan bu sıradışı olayda doktorlar bile hayrete düştü. Tedavi altında bulunan 47 yaşındaki prostat kanseri bir hasta 1 yılı geçkin süredir öksürük sorunu yaşıyordu. Herkes daha farklı bir hastalığı olduğunu düşünürken bu öksürüklerin altından bambaşka bir neden çıktı.

Tıp tarihi bunu da gördü ciğerinden trafik konisi çıktı - Resim: 2

Öksürük şikayetlerinin sıklıkları arttıkça hastanede çekilen röntgen sonuçlarında, uzun süredir sigara içen hastanın ciğerinde bir tümör olduğundan şüphelendi.

Tıp tarihi bunu da gördü ciğerinden trafik konisi çıktı - Resim: 3

YILLARCA HİÇBİR SORUN YAŞAMADI Tümörü çıkarmak için yapılan ameliyatta doktorlar tümör yerine oyuncak bir trafik konisi çıkardı. British Medical Journal'da yayınlanan araştırmada hastanın yıllarca hiçbir sağlık sorunu yaşamadığı, sadece son zamanlarda öksürmeye başladığı belirtildi.

Tıp tarihi bunu da gördü ciğerinden trafik konisi çıktı - Resim: 4

BBC Türkçe'nin haberine göre, doktorlara göre bu cismi erken yaşta yutması nedeniyle gelişmekte olan ciğerleri buna uyum sağladı.