BIST 11.007
DOLAR 42,53
EURO 49,56
ALTIN 5.746,23

Midesinden çıkanı duyunca şoke olacaksınız! Tam 2 kilo

Midesinden çıkanı duyunca şoke olacaksınız! Tam 2 kilo

GÜNEY KORE'de yaşayan psikolojik rahatsızlıkları olan ve anksiyete ile mücadele eden 54 yaşındaki bir adamın midesinden çıkanlar karşısında doktorlar dahi herkes şoke oldu.

Midesinden çıkanı duyunca şoke olacaksınız! Tam 2 kilo - Resim: 1

Anksiyete ile mücadele eden ve Psikolojik rahatsızlıkları olan 54 yaşındaki bir adamın midesinden çıkanlar herkesi şoke etti. Adam ise midesine çıkanlar ile ilgili öyle bir açıklama yaptı ki duyanları şaşkına çevirdi.

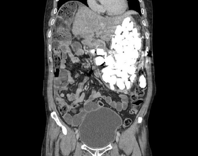
Midesinden çıkanı duyunca şoke olacaksınız! Tam 2 kilo - Resim: 2

İlginç olay Güney Kore'de gerçekleşti. Adam ağır mide ağrısı ve şişkinlik nedeniyle hastaneye başvurdu. Birkaç tetkikin ardından adamın midesinde yabancı cisimler tespit edildi.

Midesinden çıkanı duyunca şoke olacaksınız! Tam 2 kilo - Resim: 3

Doktorlar elle yaptıkları muayenelerinde de küçük taşlar hissettiklerini söylediler. Operasyonun ardından adamın midesinden iki kilogram ağırlığında taş, şişe kapağı ve bozuk para çıkarıldı. Tüm olaylardan sonra asıl ilginç olan ise adamın yaptığı açıklama oldu.

Midesinden çıkanı duyunca şoke olacaksınız! Tam 2 kilo - Resim: 4

Adam daha sonra yaptığı açıklamada anksiyete ile savaştığını ve ilaç almak yerine bazen sakinleşmek için çakıl taşı yuttuğunu itiraf etti.