BIST 11.252
DOLAR 42,62
EURO 49,99
ALTIN 5.775,51

Koronavirüsünün akciğerlere verdiği zarar böyle görüntülendi

Koronavirüsünün akciğerlere verdiği zarar böyle görüntülendi

ÇİN 'in Hubey eyaletine bağlı Wuhan’daki salgının kaynağı olduğu düşünülen hayvan pazarında çalışan 44 yaşındaki bir Çinlinin röntgen filmleri yeni tip corona virüsün akciğerlere verdiği zararı açıkça gösteriyor.

Koronavirüsünün akciğerlere verdiği zarar böyle görüntülendi - Resim: 1

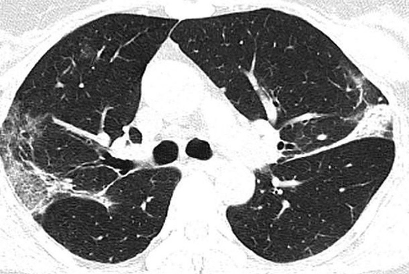
Filmlerde akciğerdeki hava boşluklarının çoğunluğunun virüs nedeniyle dolduğu görülüyor. Uzmanlar, taramalarda görülen beyaz lekelerin SARS ve MERS’te de mevcut olduğunu belirtti. Kuzey Amerika Radyoloji Derneği (RSNA), yeni tip corona virüsün (Covid-19) ortaya çıktığı Çin’in Wuhan kentindeki salgının kaynağı olduğu düşünülen deniz ürünleri pazarında çalışan ve 44 yaşında virüs nedeniyle hayatını kaybeden bir adamın röntgen filmlerini kamuoyuyla paylaştı.

Koronavirüsünün akciğerlere verdiği zarar böyle görüntülendi - Resim: 2

Hava kesecikleri doluyor

 Filmlerde corona virüsün akciğerleri nasıl tahrip ettiği net bir şekilde görülüyor. X-ray ışını taramalarında corona virüsün etkileği yerler beyaz olarak görülüyor. Uzmanlar, hastada virüsün akciğerlerdeki hava keseciklerini kısmen doldurduğunu ve akciğer nodüllerine sebep olduğunu belirtti. Diğer taraftan aynı tip anormalliklerin SARS (Şiddetli Akut Solunum Sendromu) ve MERS (Ortadoğu Solunum Sendromu) vakalarında da görüldüğünü söylediler.

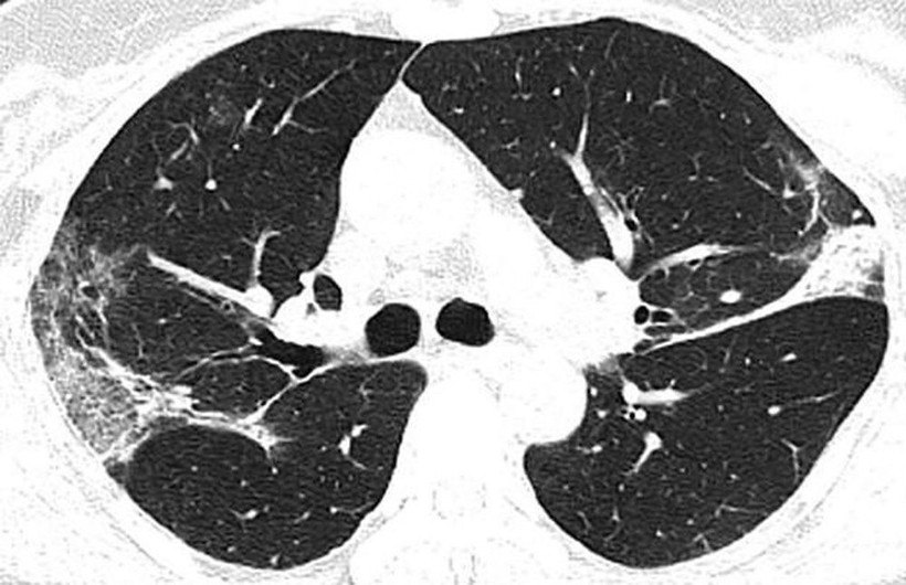
Koronavirüsünün akciğerlere verdiği zarar böyle görüntülendi - Resim: 3

Diğer taraftan, A görüntüsüyle F görüntüsü karşılaştırıldığında, akciğer uzuvlarında bulunan sıvının, zaman içinde belirgin bir şekilde corona virüs nedeniyle arttığı görülebiliyor. Röntgenleri paylaşılan adamın yaklaşık iki hafta boyunca ateş ve öksürük belirtileri göstermesinin ardından 25 Aralık 2019'da hastaneye kaldırıldığı bir hafta sonra ise hayatını kaybettiği açıklandı.

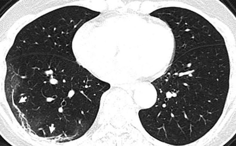
Koronavirüsünün akciğerlere verdiği zarar böyle görüntülendi - Resim: 4

Wuhan'a seyahat ettikten sonra corona virüse yakalanan 54 yaşında bir kadının bilgisayarlı tomografi taramaları da akciğerlerinde hava boşluklarının kısmen dolduğunu gösteriyor. Solda yer alan fotoğrafta kırmızı olarak görülen alanlarda nodüller, sağ tarafta ise akciğer ve trakeanın üç boyutlu görüntüsü yer alıyor. Beyaz alanlarda corona virüsün tahribi görülüyor.