BIST 11.238
DOLAR 42,59
EURO 49,56
ALTIN 5.761,02

Karnı sürekli büyüyordu! Ultrasona girence şok oldu...

Karnı sürekli büyüyordu! Ultrasona girence şok oldu...

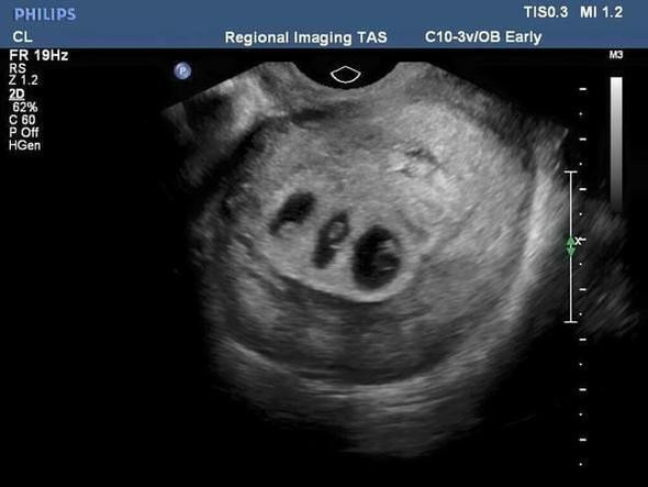
Chloe ve Rohan Dunstan’ın üç oğlu vardı. Uzun süredir kızları olsun istiyorlardı. Chloe’nin dördüncü kez hamile olduğunu duyduklarında sevinçten havalara uçtular. Ultrasona girildiğinde Chloe gözlerine inanamadı.

Karnı sürekli büyüyordu! Ultrasona girence şok oldu... - Resim: 1

Chloe ve Rohan Dunstan’ın üç oğlu vardı. Uzun süredir kızları olsun istiyorlardı. Chloe’nin dördüncü kez hamile olduğunu duyduklarında sevinçten havalara uçtular. Ultrasona girildiğinde Chloe gözlerine inanamadı.

Karnı sürekli büyüyordu! Ultrasona girence şok oldu... - Resim: 2

Chloe ilk kez ultrasona girmiyordu. Bu kez karnı inanılmaz büyüktü. Orada göreceklerini tahmin bile edemezdi. Facebook’ta “Doktor önce ‘Şurada bir bebek görüyorum. Bir dakika şurada da bebek var’ dedi. Ben de ‘İkizlerim mi olacak?’ diye sordum” dedi.

Karnı sürekli büyüyordu! Ultrasona girence şok oldu... - Resim: 3

Meğerse Chloe’nin üçüzleri olacakmış.

Karnı sürekli büyüyordu! Ultrasona girence şok oldu... - Resim: 4

Chloe ve Rohan’ın beş kişilik ailesi bir anda sekiz kişilik aileye dönüştü.