BIST 11.190
DOLAR 42,57
EURO 49,51
ALTIN 5.734,20

Epilasyondan tahriş oldu sandı kanser çıktı!

Epilasyondan tahriş oldu sandı kanser çıktı!

21 yaşındaki Rhiannon Douglas, epilasyon yaptırdıktan sonra vücudundan kızarıklıklar ve döküntüler oluşmaya başladı. En başlarda önemsemeyen Douglas, bu döküntüler artınca doktora gitti ve kanser teşhisi kondu.

Epilasyondan tahriş oldu sandı kanser çıktı! - Resim: 1

21 yaşındaki Rhiannon Douglas, epilasyon yaptırdıktan sonra vücudundan kızarıklıklar ve döküntüler oluşmaya başladı. En başlarda önemsemeyen Douglas, bu döküntüler artınca doktora gitti ve kanser teşhisi kondu.

Epilasyondan tahriş oldu sandı kanser çıktı! - Resim: 2

Cildinin tıraştan tahriş olduğunu zanneden Rhiannon Douglas isimli kadın, kanser olduğunu öğrenince şoke oldu. 21 yaşındaki Rhiannon bacaklarında kızarıklıklar fark edince tüylerini tıraş bıçağıyla almasından kaynaklandığını düşündü. Ancak kızarıklıklar bütün vücuduna yayılırken sırt ağrıları da baş gösterince hastanenin yolunu tuttu.

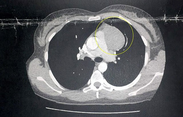
Epilasyondan tahriş oldu sandı kanser çıktı! - Resim: 3

Teşhis konulduğundan beri, genç kadının tümörü kendi kendine büyük ölçüde küçüldü. Rhiannon, vegan diyetinin yardımcı olduğunu düşünüyor.

Epilasyondan tahriş oldu sandı kanser çıktı! - Resim: 4

Genç kadın hastalığını şu sözlerle anlattı: "Daha önce böyle bir şey ne duydum, ne gördüm. Kanser olabileceği aklımın ucundan geçmezdi...