BIST 11.269
DOLAR 42,60
EURO 49,63
ALTIN 5.748,61

Diş eti iltihabı neden olur nasıl geçer?

Diş eti iltihabı neden olur nasıl geçer?

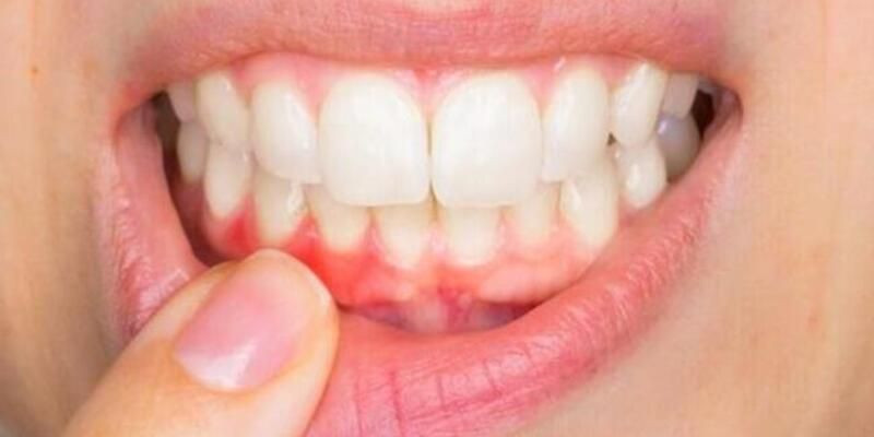
Diş eti iltihabı, diş etlerinde hassasiyet, kızarıklık ve şişlik belirtilerine yol açıyor. Peki diş eti iltihabı neden olur? Diş eti iltihabından nasıl kurtuluruz? İşte yanıtı...

Diş eti iltihabı neden olur nasıl geçer? - Resim: 1

Diş eti iltihabı nedir?
Diş eti iltihabı, yaygın olarak bakteriyel kaynaklı enfeksiyonların yol açtığı ağız ve diş sağlığına ilişkin bir hastalıktır. Yetişkin bireylerde diş kaybının başlıca nedenlerinden bir tanesi olan gingivitis, genellikle küçük boyutlu iltihaplar şeklinde gelişir. Oluşum yerine göre kişiye herhangi bir rahatsızlık vermeyebileceği gibi bazı durumlarda ve özellikle de büyük inflamasyonlar söz konusu olduğunda çiğneme, konuşma ve yemek yemede güçlük çekilmesine neden olabilir.

Diş eti iltihabı neden olur nasıl geçer? - Resim: 2

Basit bir hastalık olan diş eti iltihabı genellikle dişlerin uzun süre ve düzenli fırçalanması ile diş ipi kullanımı sonucunda kısa bir süre içerisinde iyileşir. Fakat ağız bakımına özen gösterilmemesi durumunda hastalık ilerleyerek ağızda farklı bölümlerde de iltihap oluşumuna neden olabilir ve diş kaybına kadar ilerleyebilir.

Diş eti iltihabı neden olur nasıl geçer? - Resim: 3

Diş eti iltihabının nedenleri olarak şunlar sayılabilir;

-Sigara ve tütün kullanımı
-Diyabet (şeker) hastalığı
-Bazı ilaçların kullanımı (kortikosteroidler, oral kontraseptifler, kemoterapi ilaçları, kalsiyum kanal blokerları vb.)
-Kırık dolgular
-Dişlerdeki yapısal bozukluklar
-Gebelik
-Genetik faktörler

Diş eti iltihabı neden olur nasıl geçer? - Resim: 4

Diş eti iltihabı belirtileri

-Diş etlerinde hassasiyet, kızarıklık ve şişlikler
-Beyaz renkli iltihabi oluşumlar
-Dişlerin fırçalanması veya diş ipi kullanımı esnasında kanama
-Diş eti çekilmesi
-Dişlerde gevşeklik (sallanma)
-Konuşma ve çiğneme sırasında ağrı
-Sıcak ve soğuk besinlere karşı aşırı hassasiyet
-Ağız kokusu