BIST 10.952
DOLAR 42,52
EURO 49,65
ALTIN 5.782,16

Biri cinsel organına, diğeri anüsüne uyuşturucu gizlemiş! Uyuşturucu kaçakçısı kadın ile erkeğin akılalmaz oyunu

Biri cinsel organına, diğeri anüsüne uyuşturucu gizlemiş! Uyuşturucu kaçakçısı kadın ile erkeğin akılalmaz oyunu

İzmir polisi, yurt dışından kente uyuşturucu getireceğinin istihbaratını alması üzerine tespit edilen 5 kişiyi İzmir Adnan Menderes Havalimanı’nda yakalarken, akılalmaz bir manzarayla karşılaşıldı.

Biri cinsel organına, diğeri anüsüne uyuşturucu gizlemiş! Uyuşturucu kaçakçısı kadın ile erkeğin akılalmaz oyunu - Resim: 1

Edinilen bilgiye göre olay, İzmir Adnan Menderes Havalimanı’nda meydana geldi. İzmir İl Emniyet Müdürlüğüne bağlı Narkotik Suçlarla Mücadele Şube Müdürlüğü ekipleri, yurt dışından kentte uyuşturucu madde getirileceği bilgisinin edinilmesi üzerine operasyon başlattı.

Biri cinsel organına, diğeri anüsüne uyuşturucu gizlemiş! Uyuşturucu kaçakçısı kadın ile erkeğin akılalmaz oyunu - Resim: 2

Alınan istihbarat doğrultusunda 2’si yabancı uyruklu toplamda 5 kişi yakalanarak gözaltına alındı. Yapılan röntgen muayenesinde, uyuşturucu kaçakçılarının akıl almaz oyunu ortaya çıktı.

Biri cinsel organına, diğeri anüsüne uyuşturucu gizlemiş! Uyuşturucu kaçakçısı kadın ile erkeğin akılalmaz oyunu - Resim: 3

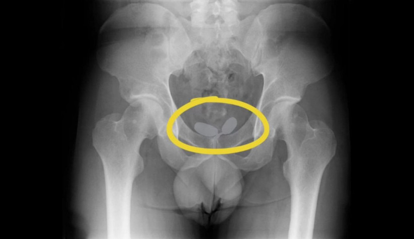
Uyuşturucuyu prezervatifler içine doldurup cinsel organına gizlemiş

Yapılan röntgen muayenesinde, Alman uyruklu kadının cinsel organında prezervatifler içerisine gizlenmiş uyuşturucular ele geçirildi. 

Biri cinsel organına, diğeri anüsüne uyuşturucu gizlemiş! Uyuşturucu kaçakçısı kadın ile erkeğin akılalmaz oyunu - Resim: 4

Alman uyruklu erkeğin ise anüsünden uyuşturucu çıktı

Diğer Alman yabancı uyruklu erkeğin ise uyuşturucuları anüsüne gizlediği belirlendi. Yapılan muayene sonrası; 21,19 gram eroin, 12,70 gram kokain, 7,76 gram amfetamin, 7 adet sentetik ecza ele geçirildi.