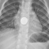
Tarsuslu İbrahim ve Sibel Işık çiftinin tek çocukları Mehmet Efe Işık, evde oyun oynarken, baskülün 3.5 santimetre çapında ve 2 milimetre kalınlığındaki yuvarlak pilini yerinden çıkarıp yuttu. Küçük çocuk, ağzına aldığı pili yuttuktan kısa süre sonra yemek borusunda yanma hissetti. Annesinin yanına giden çocuk, 'Ben pil yuttum. Boğazım yanıyor' demesi üzerine ailesi tarafından hemen Medical Park Hastanesi Acil Servis'e götürüldü. Küçük çocuk, ağzına aldığı pili yuttuktan kısa süre sonra yemek borusunda yanma hissetti. Annesinin yanına giden çocuk, 'Ben pil yuttum. Boğazım yanıyor' demesi üzerine ailesi tarafından hemen Medical Park Hastanesi Acil Servis'e götürüldü. Acil Servis'te ilk müdahalesi yapılan ve filmi çekilen Mehmet Efe'yi ardından Gastroenteroloji Uzmanı Dr. Hüseyin Sancar Bozkurt'a yönlendirdi. Bozkurt ve ekibi, endoskopik yöntemle yaklaşık yarım saatlik bir çalışmayla pili çocuğun boğazından çıkardı. Pilin çevresindeki dokuyu yakarak hasar verdiği belirlendi. Minik Mehmet Efe, hastanede 4 gün tedavi gördükten sonra, yeme içme fonksiyonlarının yerine gelmesi üzerine taburcu edildi. Dr. Hüseyin Sancar Bozkurt, küçük çocuklarda pil yutma vakalarına zaman zaman rastlandığını, ancak bu olayda çocuğun yemek borusunun yandığını söyledi.