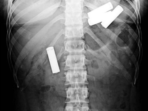
Cinsel İlişki oyuncağı bağırsaklarına kaçtı çıkarmayı denedi ama... Galerinin tamamı için tıklayınız 13 aylık bir bebeğin yuttuğu piller.