BIST 11.292
DOLAR 42,60
EURO 49,65
ALTIN 5.758,14

Akıllara durgunluk veren olay sarhoş adamın anüsünden bu çıktı

Akıllara durgunluk veren olay sarhoş adamın anüsünden bu çıktı

İngiltere 'de yaşayan 53 yaşındaki ismi açıklanmayan bir adamın anüsünden, 77 cm uzunluğunda bir cinsel ilişki oyuncağı çıkartıldı. Doktorlar bunun olağandışı ölçüde büyük olduğunu ve şimdiye kadar bu denli büyük bir nesne ile karşılaşmadıklarını söyledi.

Akıllara durgunluk veren olay sarhoş adamın anüsünden bu çıktı - Resim: 1

Daha önce dünyada örneklerini rastlandı ama bu kadarına değil. Birazdan okuyacağını bu haber akıllara durgunluk veriyor. İngiltere'nin Yorkshire bölgesinde bir adam gecenin bir vakti acil servise getirildi. Sürekli bir şeylerden dert yanıyordu ama o kadar sarhoştu ki ne dediği bir türlü anlaşılamıyordu. Doktorlar daha sonra derdinin ne olduğunu anlayınca şoke oldular. İşte akıllara durgunluk veren o olay

Akıllara durgunluk veren olay sarhoş adamın anüsünden bu çıktı - Resim: 2

İngiltere 'de yaşayan 53 yaşındaki ismi açıklanmayan bir adamın anüsünden, 77 cm uzunluğunda bir cinsel ilişki oyuncağı çıkartıldı. Doktorlar bunun olağandışı ölçüde büyük olduğunu ve şimdiye kadar bu denli büyük bir nesne ile karşılaşmadıklarını söyledi.

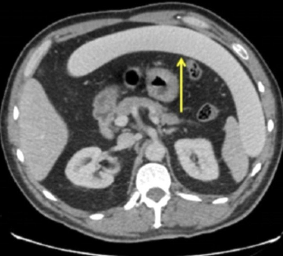
Akıllara durgunluk veren olay sarhoş adamın anüsünden bu çıktı - Resim: 3

Şiddetli ağrıları olan hasta, Yorkshire bölgesinde bulunan bir hastanenin acil servisine başvurdu. 53 yaşındaki adam hastaneye geldiğinde oldukça sarhoştu. Sarhoş olduğu için oyuncağın kontrolünü kaybettiği öğrenilen adamın içinde sıkışan nesne, çekilen röntgende açık bir şekilde görüntülendi.

Akıllara durgunluk veren olay sarhoş adamın anüsünden bu çıktı - Resim: 4

Nesneyi cinsel zevk için kullandığı öğrenilen adamın bağırsaklarının delindiği tespit edildi. Doktorlar olayı, muazzam boyutları sebebiyle türünün ilk örneği olarak nitelendirdi. Cerrahlar cinsel ilişki oyuncağını başarıyla çıkartırken, yırtılan kısım da dahil olmak üzere bağırsağın 20 cm'lik kısmı kesilmek zorunda kaldı.