Vücudun dengesini sağlayan akciğerde oluşan rahatsızlıkların en tehlikelilerinden biri olan akciğer lekelenmesi nedir belirtileri ve tedavi yöntemleri nelerdir?
Abone olAkciğer lekelenmesi, genellikle üst solumun yolu ile vücuda giren ve ciğerlere yerleşen mikroplar nedeniyle meydana gelir.
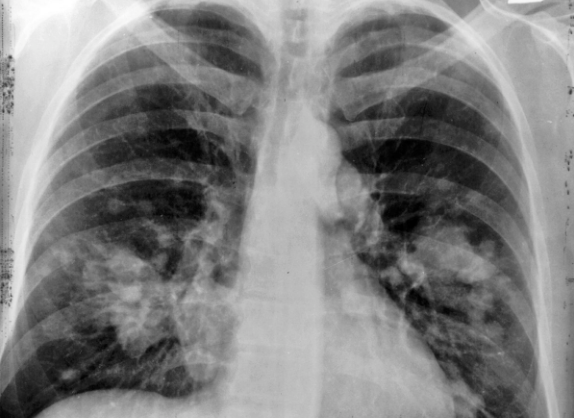
Kanser veya mantar gibi rahatsızlıkların belirtisi olabilen bu rahatsızlık, yayın olarak görülür. Lekelenme için öncelikle röntgen ve tomografi çekilmelidir. Uzman bu süreçten sonra leke tespit ettiğinde detaylı tetkiklerle ciddi olup olmadığına dair araştırma yapar. Peki akciğer lekelenmesi neden olur?
Akciger lekelenmesinin sebebi nedir?

- Bu rahatsızlık akciğer zarında iltihaplanmaya neden olur.
- Hamartomlar lipomlar ve kapsüller içerisinde büyüyen yağ hücreleridir. Bunlar bazı besinlerden dolayı ortaya çıkar. Kanserli olmayan oluşumlar olmasına rağmen akciğerde ciddi sağlık sorunlarına neden olur.
- Kanserli hücrelerin akciğer zarında birleşip tümör oluşturması da akciğer lekelenmesinin en tehlikeli boyutudur. Bu durum genellikle kafein, sigara ve bağışıklık sistemi çok zayıf olan kişilerde görülür.
- Zatürre ve bronşit gibi hastalıkların virüsleri de akciğerde lekelenmeye neden olur.
Tedavisi nedir?
Erken tedavinin önemli olduğu akciğer lekelenmesinde kalıcı hasarlar meydana gelebilir. Enfeksiyondan kaynaklanan lekelenmelere uzmanlar genellikle antibiyotik tedavisi uygular.