Brezilyalı bilim insanları tarafından gerçekleştirilen mikroskobik bir çalışmada Covid-19'un hücreyi enfekte etmeye çalıştığı an görüntülendi.
Abone olYeni tip corona virüsün (Covid-19) insan hücrelerindeki yayılışı elektron mikroskobuyla kaydedildi.
Brezilyalı bilim insanları tarafından yapılan çalışmada corona virüsün insan hücrelerinde yarattığı tahribat tüm yönleriyle açığa çıkarıldı.
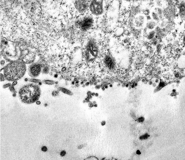
Elde edilen görüntüde, Covid-19 virüsünün parçacıkları olan siyah noktalar, genetikten sorumlu olan bir sitoplazmayı enfekte etmeye çalışıyor.
İşte tam olarak corona virüsün bir hücreye bulaştığı an

Fotoğraftaki siyah noktalar virüs parçacıkları
Virüse ismini veren yapılar
'Corona' Latince taç veya hale anlamına gelmekte ve virüs partiküllerine adını veren dış kenarındaki sivri uçları açıkça görülüyor.