BIST 11.007
DOLAR 42,53
EURO 49,56
ALTIN 5.746,23

Karın ağrısıyla hastaneye kaldırıldı midesinden çıkanlar şoke etti

Karın ağrısıyla hastaneye kaldırıldı midesinden çıkanlar şoke etti

Çin'in Guangdong bölgesinde 8 yaşındaki kız karın ağrısı şikayetiyle hastaneye kaldırıldı. Hastalığının sebebi ise doktorları şoke etti.

Karın ağrısıyla hastaneye kaldırıldı midesinden çıkanlar şoke etti - Resim: 1

Çin'in Guangdong bölgesinde karın ağrısı şikayetiyle hastaneye kaldırılan 8 yaşındaki kızın hastalığının sebebi şoke etti. Küçük kızın midesinden çıkanlar ise ailesi dahil herkesi şoke etti.

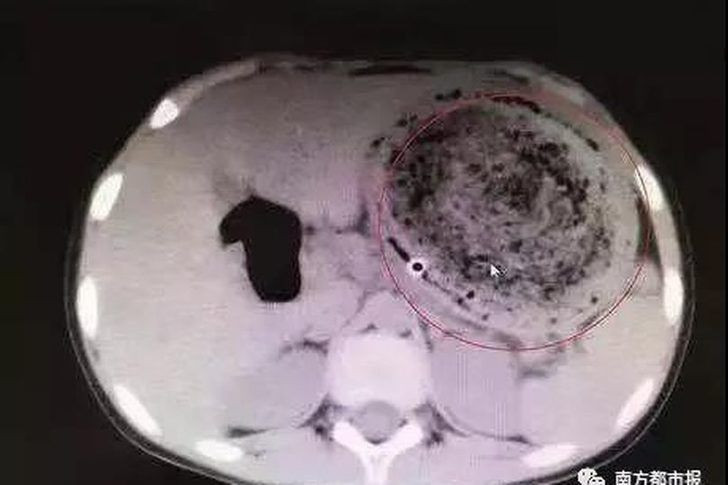
Karın ağrısıyla hastaneye kaldırıldı midesinden çıkanlar şoke etti - Resim: 2

Küçük kız şiddetli karın ağrısıyla hastaneye kaldırıdı. Doktorların muayene ve incelemerinin ardından küçük kızın midesinde bir kitle görüldü.

Karın ağrısıyla hastaneye kaldırıldı midesinden çıkanlar şoke etti - Resim: 3

Yapılan operasyon sonunda küçük kızın midesinde yıllardır çiğnediği yaklaşık bir buçuk kilo ağırlığında bir kıl yumağı saptandı. Feifei isimli kız hemen operasyona alınarak midesindeki kıl yumağı çıkarıldı.

Karın ağrısıyla hastaneye kaldırıldı midesinden çıkanlar şoke etti - Resim: 4

Küçük kızın annesi, 2019 yılının başlarında kıl yeme alışkanlığını bıraktığını ancak kılların midede birikmiş olduğuna dikkat çekti. Küçük kızın Şubat ayında kusma ve karın ağrısı semptomları göstermeye başladığını söyledi.