BIST 11.007
DOLAR 42,53
EURO 49,56
ALTIN 5.746,23

Gözüne sıkışan lensi 28 yıl fark etmedi

Gözüne sıkışan lensi 28 yıl fark etmedi

Her kontakt lens kullanıcısı bunu en az bir kez düşünmüştür, bu şey gözümde sıkışsa ne olur? Peki, sıkı tutun işte cevabı geliyor

Gözüne sıkışan lensi 28 yıl fark etmedi - Resim: 1

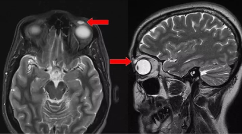
Her kontakt lens kullanıcısı bunu en az bir kez düşünmüştür, bu şey gözümde sıkışsa ne olur? Peki, sıkı tutun işte cevabı geliyor hem de tam 28 yıllık bir sıkışma! İngiltere'deki 42 yaşındaki bir kadın hiç farketmeden 28 yıl boyuncagözüne sıkışan bir lensle yaşadı..

Gözüne sıkışan lensi 28 yıl fark etmedi - Resim: 2

42 yaşındaki kadın, üst sol göz kapağında şişlik ile doktora gitti. Göz kapağında uzun bir süredir ağrı vardı ve şişmeye de başlamıştı. Dokunduğunda daha da çok ağrıyan bu şişlik için bir doktorlar önce kist dediler..

Gözüne sıkışan lensi 28 yıl fark etmedi - Resim: 3

Ameliyatla müdahele için hazırlıklar yapılırken enfeksiyon kapıp şişen yerin aslında kırık bir lensi sakladığını görünce şaşkınlıklarını gizleyemediler. Bu lensler neredeye 28 yıldır piyasada sert lenslerdendi.. işin sırrı kadının anlattıkları ile ortaya çıktı.

Gözüne sıkışan lensi 28 yıl fark etmedi - Resim: 4

Kadın genç bir kızken badminton maçında gözüne top çarpmış. Lensin düştüğünü varsayıp üzerine durmamış fakat lens kırılıp göz kapağından içeri girmiş. Tam 28 yıl sonra ise şişlikle tekrar ortaya çıkmış..