BIST 11.238
DOLAR 42,59
EURO 49,61
ALTIN 5.777,12

Anne karnındaki bebek tekmeleriyle rahim duvarını yırttı!

Anne karnındaki bebek tekmeleriyle rahim duvarını yırttı!

İNGİLTERE'de 33 yaşındaki kadın hamileliği sırasında rutin kontroller için doktoruna gitti. Fakat şok eden bir durumla karşılaşıldı. Çünkü karnındaki bebeği tekmeleriyle rahim duvarını yırtmıştı.

Anne karnındaki bebek tekmeleriyle rahim duvarını yırttı! - Resim: 1

İNGİLTERE'de 33 yaşındaki genç kadın hamileliği sırasında rutin kontroller için doktoruna gitti. Fakat şok eden bir durumla karşılaşıldı. Çünkü karnındaki bebeği tekmeleriyle rahim duvarını yırtmıştı.

Anne karnındaki bebek tekmeleriyle rahim duvarını yırttı! - Resim: 2

22 haftalık hamile olan 33 yaşındaki kadın, rutin kontrollerini yaptırmak üzere hastaneye gitti. Sağlığı ile ilgili hiçbir sorun yaşamamıştı ve yalnızca bebeğinin durumunu görmek ve hamileliğin gidişatı hakkında bilgi almak istiyordu.

Anne karnındaki bebek tekmeleriyle rahim duvarını yırttı! - Resim: 3

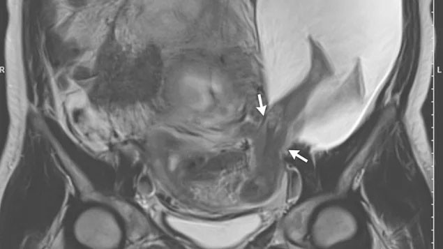
Doktorlar, rutin testleri yürüttükleri sırada, annenin sol rahim duvarında 2.5 santimetrelik bir yırtık olduğunu ve bebeğin bacaklarının bu boşluktan dışarı çıktığını gördüler. Rahim ve amniyotik sıvı, bebeği dışarıdan gelecek darbelere karşı korumakla görevlidir. Bu sebeple yaşanan olay, annenin ve bebeğin hayatını tehdit edebilecek ciddiyetteydi.

Anne karnındaki bebek tekmeleriyle rahim duvarını yırttı! - Resim: 4

Rahim duvarının bir noktadan yırtılması, anne rahminin tamamının zarar görmesine yol açabilirdi. Öte yandan “placenta accreta” adı verilen ve hem annenin hem de bebeğin yaşamını tehdit eden durum ortaya çıkabilir, doğumdan sonra aşırı kanamaya yol açabilirdi. Ayrıca anne gerekirse rahim ameliyatı olabilir, bu durumda erken doğum yapması gerekebilirdi.