Epilasyondan tahriş oldu sandı kanser çıktı!
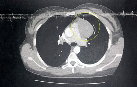
Galerinin tamamı için tıklayınızGenç kadın hastalığını şu sözlerle anlattı: "Daha önce böyle bir şey ne duydum, ne gördüm. Kanser olabileceği aklımın ucundan geçmezdi...
Internet Haber mobil uygulamasını denediniz mi?
Genç kadın hastalığını şu sözlerle anlattı: "Daha önce böyle bir şey ne duydum, ne gördüm. Kanser olabileceği aklımın ucundan geçmezdi...