BIST 11.238
DOLAR 42,59
EURO 49,56
ALTIN 5.763,58

Akciğer lekesi nedir belirtileri nelerdir? Tedavisi var mıdır?

Akciğer lekesi nedir belirtileri nelerdir? Tedavisi var mıdır?

Gözle görülebilir bir hastalık çeşidi olan ve birçok nedenden dolayı ortaya çıkabilen akciğer lekesi rahatsızlığı nedir? Üst solunum yollarıyla vücuda girebilen mikroplar nedeniyle meydana gelen bu rahatsızlığın tedavisi nedir? İşte cevabı...

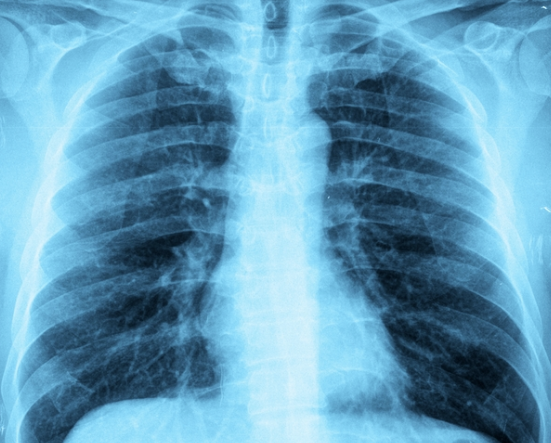
Akciğer lekesi nedir belirtileri nelerdir? Tedavisi var mıdır? - Resim: 1

Birçok nedenden dolayı ortaya çıkabilen akciğer lekesi gözle görülebilir bir hastalık çeşididir. Genellikle üst solumun yolu ile vücuda giren ve ciğerlere yerleşen mikroplar nedeniyle yaşanır. En tehlikeli olduğu durum ise kanser veya mantar gibi rahatsızlıkların belirtisi de olabilir. Yaygın görülen bu rahatsızlık için öncelikle röntgen ve tomografi çekilmelidir. Uzman bu süreçten sonra leke tespit ettiğinde detaylı tetkiklerle ciddi olup olmadığına dair araştırma yapar.

Akciğer lekesi nedir belirtileri nelerdir? Tedavisi var mıdır? - Resim: 2

NEDEN OLUŞUR? En yaygın nedenlerinden biri üst solunum enfeksiyonlarıdır. Bu enfeksiyon virüsleri akciğer zarında iltihaplanmaya neden olur. Zatürre ve bronşit gibi hastalıkların virüsleri de akciğerde lekelenmeye neden olur. Kanserli hücrelerin akciğer zarında birleşip tümör oluşturması da akciğer lekelenmesinin en tehlikeli boyutudur. Bu durum genellikle kafein, sigara ve bağışıklık sistemi çok zayıf olan kişilerde görülür.

Akciğer lekesi nedir belirtileri nelerdir? Tedavisi var mıdır? - Resim: 3

Hamartomlar lipomlar ve kapsüller içerisinde büyüyen yağ hücreleridir. Bunlar bazı besinlerden dolayı ortaya çıkar. Kanserli olmayan oluşumlar olmasına rağmen akciğerde ciddi sağlık sorunlarına neden olur.

Akciğer lekesi nedir belirtileri nelerdir? Tedavisi var mıdır? - Resim: 4

TEDAVİSİ NEDİR? Kanserli olan lekelenmeler ciddi boyutlara ulaşmadan engellenmesi için erken tedavi önemlidir. İyi huylu akciğer lekelenmesinde bile erken tedaviye başlanılmadığında kalıcı hasarlar meydana gelir. Enfeksiyondan kaynaklanan lekelenmelere uzmanlar genellikle antibiyotik tedavisi uygular.